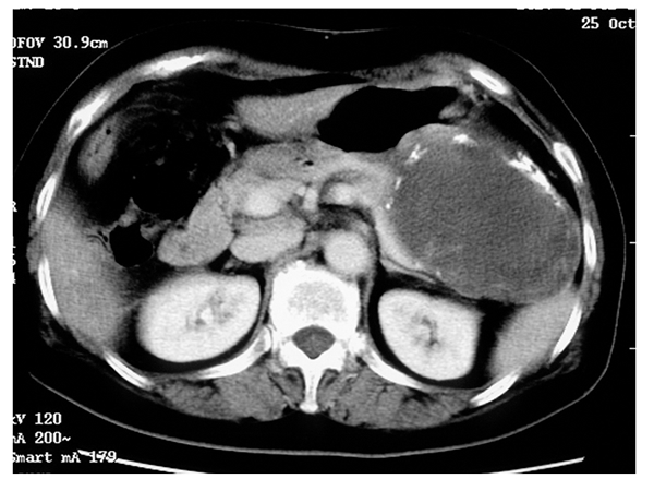
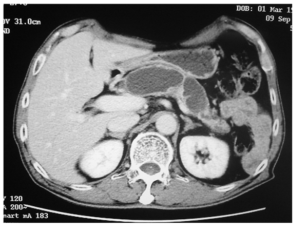
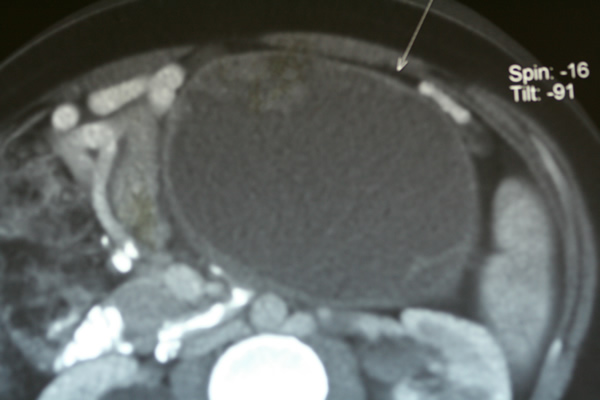
Pankreas Kistleri
Kist bedenin çeşitli yerlerinde oluşabilen içi sıvı madde dolu olan keseciklerdir. Pankreas kistlerin sıklıkla görüldüğü organlardan birisidir. Akut pankreatit sonrası görülen pseudo (yalancı) kistler ayrı bir grup olarak değerlendirilir. Hiçbir zaman kansere dönüşmezler çünkü duvarlarını oluşturan pankreas etrafındaki organlardır. Gerçek pankreas kistleri ise birden fazla altgrupta incelenirler. Bazıları iyi huylu olarak başlar ve yaşam boyunca öyle kalırlar. Bazı kistler ise zaman içinde kansere dönüşme potansiyeline sahiptirler. Bu nedenle kistlerin hangi grupta yer aldığının anlaşılması tedavinin planlanması açısından büyük öneme sahiptir. Pankreas kistleri çoğunlukla tesadüfen tanınırlar. Check-up veya başka nedenlerle yapılan görüntülemeler de saptanırlar. Ayırıcı tanılarında MR veya BT yeterli olabilir. Ancak birçok durumda müsinöz-seröz ayrımını yapmak için endoskopik ultrasonografi ve kist örneklemesi gerekebilir. Kistlerin tedavisi ya takip yada cerrahi olarak çıkartılmalarıdır. Kist eğer belirti (ağrı, akut pankreatit atağı, komşu organlara bası) veriyorsa boyutuna ve tipine bakmaksızın cerrahi kararı verilir. Hiçbir şikayete neden olmamışsa, başka nedenlerle yapılan görüntülemelerde tesadüfen saptanmışsa hangi kist tipi olduğu tedaviyi belirleyen en önemli faktör olduğundan ayrıntılı olarak incelenmelidir.
Solid Pseudopapiller Kistik Neoplazi
Tipik olarak genç yaşta ve kadınlarda görülür. Kadın-erkek oranı 9/1’dir. Bilimsel sınıflamada kist grubu altında yer alsa da hem radyolojik görüntüsü hem de kesit görüntüsü sıvı içerikten farklıdır. Düşük grade’li kanser olarak değerlendirilen bu tümör iyi seyirli kötü huylu tümör olarak da değerlendirilebilir. Hastaların çok büyük çoğunluğunda cerrahi olarak çıkartıldığında tam tedavi (KÜR) sağlanmış olur. Hastaların az bir kısmında uzak organlara yayılım (metastaz) görülebilir.
Seröz Kistik Neoplazi
Seröz kistler birden fazla görünümle karşımıza çıkabilirler. Mikrokistik olanları radyolojide balpeteğini andırır görüntüdedirler. Oligokistik formu tek büyük kist görüntüsündedir ve bu nedenle diğer kist tipleriyle karıştırılabilirler. Seröz kistler kanserleşmezler. Bu nedenle şikayete neden olmuyorlarsa ve tanıları konusunda bir şüphe yoksa cerrahi tedavi gerektirmezler.
Müsinöz Kistik Neoplazi
Bu kist tipide ağırlıklı olarak kadın cinsiyetinde görülür. Genellikle 50’li yaşlarda saptanır. Hemen tamamı pankreasın gövde ve kuyruk bölgesinde yerleşir. Kansere dönüşme potansiyelleri nedeniyle tanı konulduğunda cerrahi tedavi önerilir.
İPMN (İntraduktalPapillerMüsinözNeoplazi)
Son 15 yılda klinikte giderek artan sayıda rastlanılan bir problemdir. Pankreas kanalından gelişen başlangıçta iyi huylu olan polip benzeri kitle pankreas kanalları içerisine müsinöz (sümüksü) bir sıvı salgılar. Bu sıvı ana pankreas kanalının genişlemesine ve yan dallarda kistlerin oluşmasına neden olur. Üç ana tipi vardır. Ana kanal, yan dal ve bunların birleşiminden oluşan miks tip. Ana kanal tipi yüksek pankreas kanseri gelişimi riski nedeniyle tanı konulduğu anda cerrahi adayıdır. Yan dal tipinde kistin çapı, duvarının yapısı, hastanın şikayetleri göz önüne alınarak gözlem veya cerrahi kararı verilir.
İPMN ana kanal tipi %30-70 oranında pankreas kanseri ile birliktedir. İPMN tanısı konduğunda pankreas kanseri varlığını düşündüren faktörler sarılık, yüksek CA 19-9 düzeyi ve pankreasta kitle varlığıdır. Günümüzde yaklaşım pankreas kanseri gelişmeden cerrahi olarak tedavi etmektir. İPMN tanısını koymanın en önemli yanı bu önleyici tedaviyi olanaklı kılmasıdır.
Cerrahi tedavi de ana kanal tipi İPMN varlığında genel olarak Whipple ameliyatı gerekmektedir. Başlangıçta kanser tanısı almayan hastalarda Whipple ameliyatı kararı almak herkes açısından zorluk gösterse de alınan riskler ile elde edilecek faydalar karşılaştırıldığında her zaman cerrahi kararı doğru karar olmaktadır.


