Pankreas Endokrin Tümörleri
Pankreas endokrin tümörleri (PET) nadir tümörler olup tüm pankreas kitlelerinin %2-4’ünü oluştururlar. Hangi hücreden geliştikleri tam olarak anlaşılamamıştır. Gastrointestinal sistemin hormon salgılama potansiyeline sahip kök hücrelerinden geliştiği düşünülmektedir. Hormon üretip üretmemelerine göre 2 ayrı grupta incelenirler. Fonksiyonel PET’ler salgıladıkları hormon nedeniyle yarattıkları klinik tabloya göre adlandırılırlar. Non-fonksiyonel PET’ler hormon salgılamazlar ama hücre içinde hormonal granüller patolojik olarak izlenirler. Fonksiyonel olanlar PET’lerin %70’ini oluştururlar
Fonksiyonel PET’ler sıklık sırasına göre :
İnsülinoma
 
 Gastrinoma
 
 Glukagonoma
 
 Vipoma
 
 Somatostatinoma
İnsülinoma
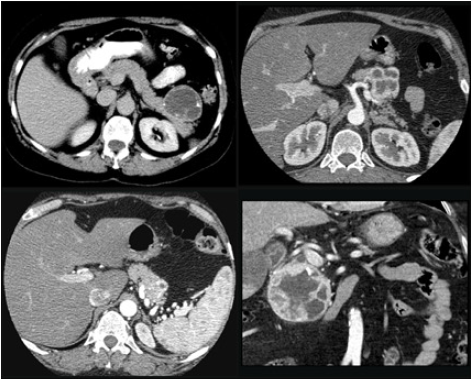
En sık rastlanılan fonksiyonel tümördür. Aşırıve kontrolsüz insülin salgılanması nedeniyle kan şekeri düşüklüğüne neden olurlar. Hastalarda zaman zaman kuvvetsizlik, terleme, çarpıntı, bilinç bulanıklığı, baygınlık hissi gibi şikayetler olur. Başlangıçta bu şikayetler nedeniyle hastalar kalp hastası, psikiyatrik bozukluk zannedilerek yanlış tanılar alabilirler. Tipik olarak bu şikayet atakları sırasında kan şekeri 45mg/dl’nin altında ölçülür. Ağızdan veya damardan şeker alınması şikayetleri geçirir.
İnsülinoma şüphesi olan bir kişide endokrin uzmanlarınca yapılan bir dizi testten sonra aşırı insülin salgılandığı saptanırsa tümörün yerini saptamak için görüntüleme yöntemlerine başvurulur. Hastaların çoğunluğunda tümör 1, 5 cm’den küçük olduğu için standart görüntüleme yöntemleri yetersiz kalabilir. Endoskopik ultrasonografi tümörün yerini saptamada çok yararlı bir yöntemdir. İnsülinomaların %90’ı iyi huyludur ve cerrahi olarak çıkartıldıklarında tam tedavi olurlar.
Kitlenin küçük olması ve pankreas dokusunun çıkartılmasının zorunlu olmaması nedeniyle son yıllarda laparoskopik cerrahi insülinomanın tedavisinde daha sık kullanılır olmuştur.
Gastrinoma
Gastrinoma ikinci en sık fonksiyonel endokrin tümördür. Gastrin salgılayarak midenin aşırı asit üretimine neden olur. Bu durumda tıbbi yöntemlerle tedavisi zorluk gösteren mide ve duodenum ülserlerine ve ishale neden olur. Gastrinoma diğer endokrin tümörlerden farklı olarak pankreas dışında da yerleşebilir. Oniki parmak bağırsağı ve bölgesel lenf bezlerinde bulunabilir. Bazı genetik sendromların parçası veya tek başına bir hastalık olarak karşımıza gelebilir. Tanısında açlık serum gastrin düzeyi ölçümü kullanılır. Eğer başka bir genetik sendromun parçası değilse tümörün cerrahi olarak çıkartılması tedavi edicidir. Ancak genetik sendrom zemininde gelişmişse genellikle cerrahi tedavi tek başına yeterli değildir.
Fonksiyonel Olmayan Pankreas Endokrin Tümörleri
Özel bir hormon salgılamadıkları için ameliyat öncesi tanıları her zaman olanaklı değildir. Ayrıca bu ayrımın yapılması her zaman gerekli de değildir. Pankreasta eğer kistik olmayan solid bir kitle saptanırsa yaklaşım ameliyata engel özel bir durum olmadığı sürece cerrahidir. Pankreasın diğer organlarda görülebilen iyi huylu ve çıkartılması gerekmeyen bir kitlesi yoktur.
Bu nedenle fonksiyon göstermeyen tüm endokrin tümörlerde boyutlarına bakılmaksızın cerrahi olarak çıkartılırlar. En önemli avantajları 3 cm’den küçük olduklarında pankreas kanserinde olduğu gibi büyük cerrahi gerektirmeden çıkartılabilmeleridir. Ancak bölgesel lenf bezlerinde tutulum olduğu düşünülürse pankreas kanseri gibi davranılmalıdır.
Endokrin tümörler pankreas kanserine göre daha iyi seyirlidirler. Ancak onlarda uzak organlara yayılabilirler ve zaman zaman pankreas kanseri gibi seyredebilirler.
Karaciğer metastazı(yayılımı) olan PET’lerde eğer metastazlar teknik olarak çıkartılabiliyorsa pankreas tümörüyle birlikte çıkartılmaları en doğru yaklaşımdır. Ancak cerrahi olarak çıkartılamayan tümörlerde alternatif yöntemler uygulanır



