Akut Pankreatit
Akut pankreatit pankreasın akut yangısıdır. Çok farklı nedenlere bağlı olabilir. Ülkemizde akut pankreatitlerin en sık (%60-80) nedeni SAFRA TAŞLARIDIR. Daha az sıklıkta alkol kullanımı, travmalar, hiperkalsemi (kalsiyum yüksekliği), hipertrigliseridemi, bazı ilaçlar, bazı viral hastalıklar nedendir. Safra taşları safra kesesinden ana safra kanalına düşerler ve pankreas kanalının ağzını geçici veya kalıcı olarak tıkarlar. Pankreasın sindirim için salgıladığı enzimler pankreas içinde aktif olmayan formlarında depolanır. Pankreatiti başlatan olay bu aktif olmayan formların pankreas içinde aktifleşmelerine neden olur. Gıdaların sindirilmesini sağlayan enzimler pankreas dokusunda ve etraf yağ dokusunda yangıya neden olarak pankreatiti başlatır. Bu yangı sonucunda dolaşıma çok miktarda sitokin adı verilen maddeler salınır. Bu maddeler vücudun savunma mekanizmalarında rol oynayan maddelerdir ancak kontrolsuz salınmaları durumunda da vücuda zarar verirler.
Akut pankreatit iki şekilde görülür. Ödematöz-intersitisiel pankreatit ve nekrotizan pankreatit. Pankreatitlerin %80-85’i ödematöz, %15-20’si nekrotizandır. Ödematöz pankreatit pankreas dokusunda ve çevre dokularda ödemle karakterizedir. Hücre ölümü yoktur. Nekrotizan pankreatit de ise pankreasın kendisinde ve / veya etraf yağ dokusunda hücre ölümü vardır.
Akut pankreatit kendisini ani başlayan , genellikle karnın orta ve üst bölümünde olan, sırta ve bele yayılabilen karın ağrısı ile gösterir. Bulantı ve kusma bu duruma sıklıkla eşlik eder. Karında şişlik, sarılık, ateş, tansiyon düşüklüğü bunlara eklenebilir. Her yaşta görülebilse de genellikle 50 yaş civarında daha sıktır. Ağrı genellikle şiddetli ve süreklidir. Günler içinde geçer. Kısa süreli veya gelip geçen ağrılar şeklinde kendini göstermez. Akut pankreatit ayakta geçirilebilen bir hastalık değildir. Hastaneye yatmayı gerektirir.
Akut pankreatit tanısı hastanın şikayetlerinin değerlendirilmesi, kanda amilaz-lipaz ölçümünün yapılması ve karakteristik radyolojik bulguların saptanmasıyla konulur. Tipik karın ağrısı ile başvuran hastada amilaz ve/veya lipazın laboratuar üst sınırının 3 katından fazla bulunması tanı için yeterli kriterdir. Başlangıç başvurusunda tanıyı doğrulamak için bilgisayarlı tomografi veya MR şart değildir. Ancak hastalığın seyrinde nekroz varlığını veya komplikasyonları saptayabilmek için bilgisayarlı tomografiden yararlanılır.
Akut pankreatit hastaların çoğunluğunda hafif seyir gösterir. Hastaneye yatıştan birkaç gün sonra ağrılar geçer, hasta kendini iyi hissetmeye başlar, başlangıçta kesilen gıda alımına tekrar müsaade edilir. Gıda alımıyla şikayetler de tekrarlama olmazsa damardan verilen sıvılar kesilir ve tedavi sonlandırılır. Eğer pankreatit safra taşına bağlıysa aynı hastane yatışında safra kesesi ameliyatı yapılması son derece önemlidir. Hasta taburcu edilip safra kesesi ameliyatı 6-8 hafta ertelenirse bu sürede tekrar pankreatit geçirme riski %25’dir. Bu senaryo hafif seyirli ve komplikasyon gelişmeyen hastalar için en uygun olanıdır. Ancak seyir herzaman böyle olmayabilir. Akut pankreatiti birçok hastalıktan farklı kılan özelliği hastalığın hafif yada ağır seyretmesini belirleyen faktörleri tedavi eden hekimlerin belirleme şansının olmamasıdır. Tedavinin seyri sırasındaki problemleri yönetmek ayrı bir konu pankreatitin seyrini belirleyebilmek ayrı konudur. Seyrin nasıl olacağını öngörebilmek amacıyla tıbbi birçok analiz yöntemi ortaya atılmıştır. Bunların içinde en iyi bilinenlerinden biriside Ranson kriterleridir. Bir dizi kan testi ve klinik değerlendirmeyle pankreatitin hafif, orta veya şiddetli bir klinik seyir gösterebileceğini yüksek doğruluk oranıyla öngörmek mümkündür. Bu ayrımı yapmanın önemi büyüktür. Hafif seyirli pankreatit çok standart tedavisi olan, yoğun bakım tedavisi veya bu konuda deneyimli merkezde olmayı gerektirmeyen bir durumken şiddetli pankreatit yüksek ölüm riski nedeniyle bu konuda donanımlı ve deneyimli bir merkezde tedavi edilmelidir.
Nekrotizanpankreatit her zaman olmasa da genellikle ödematöz pankreatitten daha ağır klinik seyir gösterir. Nekrotizan-ödematöz ayrımını yaptıran yöntem kontrast maddeli bilgisayarlı tomografidir. Nekrotizan pankreatit üzerine enfeksiyon eklendiğinde ‘enfekte pankreas nekrozu’ olarak adlandırılır. Ağır bir klinik tablo olan bu durumda genel olarak nekroz cerrahi veya daha az sıklıkta da radyolojik olarak boşaltılamazsa ölüm oranı çok yüksektir. Nekrotizan ve enfekte nekrotizan pankreatitlerin tedavisi bu konuda deneyimli yoğum bakım uzmanlarının, radyologların ve cerrahların bulunduğu bir ortamda tedavi edilmelidir.
Enfekte pankreas nekrozu genellikle hastalığın başlangıcından 2-4 hafta sonra görülür. Hasta başlangıçtan beri hastanededir ve klinik olarak çeşitli problemler nedeniyle yatış süresi uzamıştır. Çoğu kez yoğun bakımda birden fazla organ yetmezliği gelişmiş durumdadır. Enfekte nekroz tanısı konulduktan sonra bu iltihaplı dokuların vücut dışına çıkartılması gerçekleşmezse hastayı iyileştirebilmek mümkün değildir. Bunu yapabilmek için de hastaların çok büyük çoğunluğunda bir veya daha fazla cerrahi girişim gerekir. Az sayıda hastada bunu girişimsel radyolojik yöntemlerle veya laparoskopik yapmak mümkün olabilir. Bu durumdaki hastalarda hastanede yatış süreci haftalar bazen de aylar sürebilir.
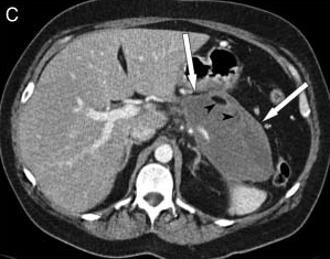
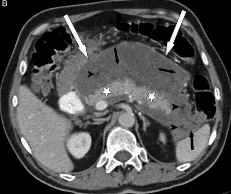
Akut pankreatitin seyri sırasında pankreas etrafında sıvı birikimi sık görülür. Bu toplantıların etrafında belirgin duvar yapısı yoksa ‘akut sıvı koleksiyonu’ olarak adlandırılır. Bunlar genellikle izlem sırasından herhangi bir işlem gerekmeden kaybolurlar. Eğer bu sıvı birikimlerinin etrafında belirgin duvar yapısı varsa ‘pseudokist’ olarak adlandırılırlar. Pseudokistlerin bir kısmı zaman içerisinde kendiliğinden iyileşebilir. Ancak boyutu 6 cm’den büyük olanlarda bu durum daha az görülür. Pseudokistler eğer herhangi bir probleme neden olmuyorlarsa uzun süre izlenebilirler. Komşu organlara bası belirtileri varsa, iltihaplanırlarsa veya içlerine kanama olursa girişim gerektirirler. Dışarıdan dren konulması, endoskopik işlemler veya cerrahi tedavi seçeneklerinin tercihi kistin konumuna, komplikasyonun ne olduğuna, hastanın genel durumuna göre değişkenlik gösterir. Hangi tedavinin uygun olduğuna hastayı takip eden cerrah-gastroenterolog-radyolog ortaklaşa karar verir.
Kronil Pankreatit
Kronik pankreatit pankreas dokusunun çeşitli nedenlerle hasarlanıp bağ dokusuna dönüştüğü iyi huylu yangısal bir problemdir. Ülkemizde batı toplumlarına göre daha az görülsede çok nadir bir problem değildir. Kronik alkol kullanımı , bazı anatomik bozukluklar, nadir bazı genetik hastalıklar sıklıkla nedenidir. Birçok hastada da altta yatan nedeni bulmak mümkün olmamaktadır.
Kendisini çoğu kez tekrarlayan karın ağrısı atakları ile gösterir. Ancak hastaların %15’inde ağrı şikayeti bulunmaz. Pankreas hücrelerinin harabiyeti nedeniyle pankreas normal işlevini kaybeder. Bunun sonucuda “şeker hastalığı” ve “steatore” olarak adlandırılan yağlı gıdaların sindirilememesi durumu oluşur. Ağrı, diabet, steatore kronik pankreatit üçlüsü olarak adlandırılır.
Kronik pankreatit değişik klinik tablolarla karşımıza gelebilir. Tekrarlayan akut pankreatit atakları bunlardan birisidir. Pankreas enzimlerinin yükselmediği aralıklı ağrı atakları hastaların yaşamını en fazla etkileyen ve hekime başvurmalarını sağlayan durumdur. Pankreas kanalında gelişen darlıklar ve taşlar sıklıkla ağrının nedenidir. Bazı hastalarda pankreas başında iltihabi bir kitle oluşur ve bu kitle hem safra yoluna basarak tıkanma sarılığına hem de mide çıkışına basarak kusmaya neden olabilir. Pankreas başındaki iltihabi kitle pankreas başı kanserini hem klinik hem de radyolojik olarak taklit edebilir. Kronik pankreatit pankreas kanseri açısından normal kişilere göre 15 kat fazla pankreas kanseri riski taşıdığı için iyi huylu-kötü huylu kitle ayrımı güvenli bir şekilde yapılamazsa cerrahi girişim en uygun tedavi yöntemi olur.
Kronik pankreatit ağrı problemi ile seyrediyorsa tedavi yaklaşımı konusunda değişik alternatifler vardır. Başlangıçta ilaç tedavisi başarılı olabilir. Ancak çoğu kez endoskopik veya cerrahi bir girişim gerekir. Bu konuda farklı görüşler vardır. Klasik uygulama önce ilaç tedavisi, buna yanıt alınmıyorsa endoskopik girişimler, endoskopik işlemlerde başarısız olursa cerrahi girişim şeklindedir. Ancak son yıllarda yapılan çalışmalar endoskopik işlemlerin kalıcı başarısının çok düşük olduğunu göstermiştir. Doğru planlanan cerrahi girişimler düşük riskleri yüksek başarıları ile hastalığın başlangıcında pankreas fonksiyonlarını daha iyi koruyabilmektedirler



