Pankreas Kanseri Önlenebilir mi ?
Pankreas kanseri batı toplumlarında kansere bağlı ölüm nedenleri arasında üst sıralardadır. Bunun ağırlıklı nedeni de tanı anında hastalığın genellikle ileri evrede karşımıza gelmesidir.
Son yıllarda akciğer, meme, prostat ve kalın bağırsak kanserlerine bağlı ölüm oranlarında düşüş yaşanmasına rağmen aynı durum pankreas için geçerli olmamıştır. Bazı tümörlerde ölüm oranlarında düşüş yaşanması sadece etkin tedavi yöntemlerinin bulunmasına değil erken tanı ve tarama programlarının başarılı bir şekilde uygulanmasına da bağlıdır. Bu anlayıştan doğan yeni bir cerrahi yaklaşımda önleyici cerrahidir. Önleyici cerrahi kavramı kansere yatkınlığı bilinen bir kişide kanser öncesi değişiklikler yada erken kanser olarak tanımlanabilecek doku değişiklikleri bulunması durumunda kanser gelişmeden yapılan cerrahi girişimlerdir.
Geçmişte pankreas kanseri tarama veya erken tanı programları açısından az sıklıkta görülmesi nedeniyle uygun bulunmamıştır. Günümüzde oluşan bilgi birikimi bu görüşü kısmen değiştirmiştir. Pankreas kanseri tanı konulduğunda ileri bir aşamada olsa bile yıllarca süren bir kanser gelişim sürecinden geçerek bu aşamaya gelmektedir.
Pankreas kanseri başlangıçta iyi huylu olarak gelişen bazı öncül lezyonlardan zaman içerisinde kansere dönüşmektedir. Bu öncül lezyonların günümüzde daha fazla saptanır olması pankreas kanserlerinin önlenmesini veya daha fazla tanınmasını sağlayabilmektedir.
Pankreas kanserlerinin görülme sıklığının düşük olması genel toplum taramalarını anlamlı kıldırmamakla beraber, bazı yüksek riskli hasta gruplarının özel tarama programlarıyla incelenmesi erken kanserlerin ve öncül problemlerin saptanmasını sağlayarak kansere bağlı ölümleri azaltabilecektir.
Pankreas Kanseri Risk Grupları
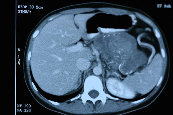
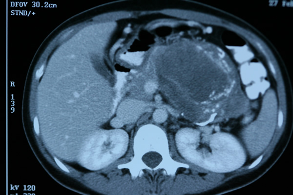
Genetik olmayan risk faktörleri arasında en net olarak bilinenler sigara kullanımı, obesite, kronik pankreatit ve diabet varlığıdır. Bu risk faktörlerinden sadece kronik pankreatit tarama programlarına dahil olmayı gerektirecek kadar yüksek riske sahiptir. Kronik pankratitli kişilerde risk 16 kat fazladır. Genetik olmayan risk faktörleri arasındaki diğer grup ise bizim kontrol edemeyeceğimiz faktörler içerisinde yer alan pankreas kistleridir. Özellikle İPMN ve müsinöz kistler ile kansere dönüşüm arasındaki ilişki çok net olarak ortaya konmuştur.
Genetik risk faktörleri arasında üç ana grup vardır. Ailevi pankreas kanseri en yüksek risk faktörüdür ancak nadir bir durumdur. En az üç birinci derece yakınında pankreas kanseri olanlar bu gruptadır ve bu durum riski 30 kat arttırmaktadır. Birinci dereceden bir aile bireyinde pankreas kanseri olması riski 4. 5 kat arttırmaktadır ve böyle bir durumda pankreas kanserine yakalanma riski 70 yaşına gelindiğinde yaklaşık %2 ‘dir.
Diğer genetik rahatsızlıklar familial polipozis coli, meme ve yumurtalık kanser sendromu, Peutz-Jeghers sendromu ve herediter pankreatittir.
Riskli Hastalarda Tarama Yöntemleri
Kalıtsal olmayan risk grubundaki hastalar kronik pankreatit ve pankreas kisti olan hastalardır. Bu hastalar genellikle bilgisayarlı tomografi veya manyetik rezonans(MR) ile görüntülenerek incelenirler. Bunlara ek olarak son yıllarda gerektiğinde endoskopik ultrasonografi de uygulanmaktadır. Kalıtımsal risk grubundaki hastalara da benzer yöntemler uygulanmaktadır.
Bu tarama programlarında amaç erken kanserleri saptamak olduğu kadar kanser öncesi gelişen ve kansere dönüşebilen doku değişikliklerini saptayabilmektir. Genel olarak topluma göre 5-10 kat risk taşıyan hastalarda 50 yaşta bu tarama programlarını başlatmak önerilmektedir.
Risk taşıyan hastalarda tarama programlarında solid lezyon, kist veya PanIN-3 olarak adlandırılan problemler saptandığında cerrahi tedavi koruyucu olarak önerilmektedir.





